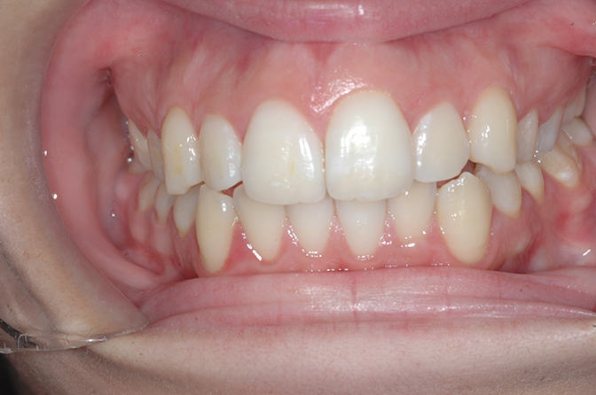
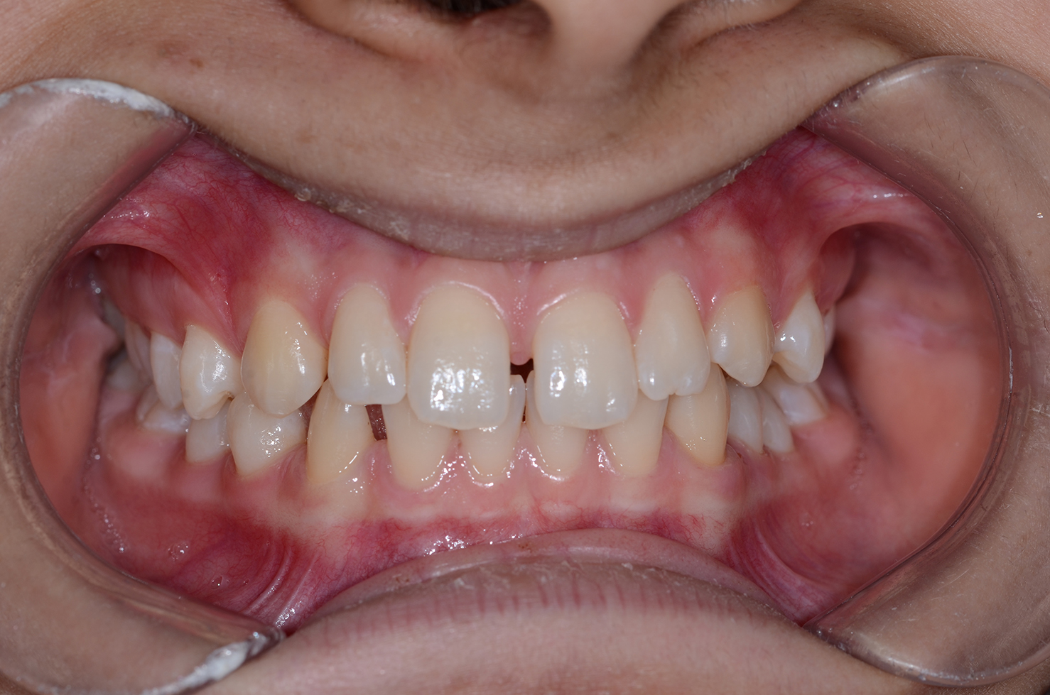
בואו נהיה שקופים לגבי משהו שחברות קשתיות אחרות אינן מרבות לדבר עליו – וזו האסתטיקה. עיצוב הקשתיות השקופות המתקדם של Reveal מציע שקיפות יוצאת דופן, עמידות בפני כתמים, ועוזר להפחית את הצורך בהצמדות מכוערות, כך שתוכל לחייך בביטחון צלול במהלך הטיפול.
דרך חדשה
ומתקדמת
ליישור שיניים
ליישר שיניים –
ואף אחד לא
ישים לב
• הכי שקופות – יישור שיניים באמצעות קשתיות שקופות בלתי נראות
• החיים ממשיכים כרגיל – לא מפריע בשגרת היומיום שלנו
• מחיר משתלם – המחיר המשתלם ביותר בישראל ליישור שיניים שקוף
בואו נהיה שקופים לגבי משהו שחברות קשתיות אחרות אינן מרבות לדבר עליו – וזו האסתטיקה. עיצוב הקשתיות השקופות המתקדם של Reveal מציע שקיפות יוצאת דופן, עמידות בפני כתמים, ועוזר להפחית את הצורך בהצמדות מכוערות, כך שתוכל לחייך בביטחון צלול במהלך הטיפול.



40 שנים של עשייה מקצועית הביאו את הרשת להיות החברה המובילה בישראל באספקת שירותים דנטליים מתקדמים, תוך שמירה על רמה גבוהה של איכות.